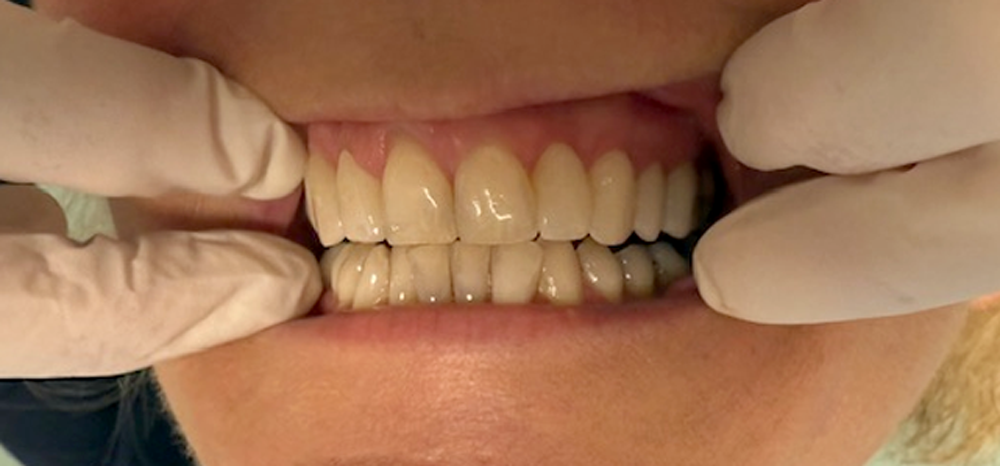
Crowns & Bridge work

Over 40 years experience in dentistry

When teeth are very decayed or fractured or have a poor appearance it may be a good idea to restore them by a crown or a series of crowns on the affected teeth. This usually involves just 2 visits one to prepare the teeth and a second to fit the new teeth. During the period whilst the technician is custom making the teeth you will have temporary crowns.

We mostly make crowns from Zirconium without using any metal because the appearance is much more natural. This material is very strong and can be used in thin sections. 

Get in touch with our staff to schedule an appointment on 02890 661 688.

Dental Crowns

Over time, your teeth can get damaged. This can happen for a variety of reasons, like tooth decay, injuries or just use over time. Your teeth can lose their shape or size. Dental crowns are tooth-shaped “caps” that can be placed over your tooth. Think of it like a snug hat for your tooth. The crown restores the tooth’s shape, size, strength and appearance.

The dental crown is cemented into place on your tooth and it covers the visible portion of the tooth.

Dental Bridge work

If you have missing teeth, your dentist can close — or bridge — the gaps in your smile with dental bridges. A dental bridge is a false tooth (called a pontic) that is held in place by the abutment teeth on either side of the gap. Typically they’re made from porcelain to aesthetically blend in with your natural teeth. 

We offer exceptional bridgework treatments to restore your smile’s beauty and functionality. Our skilled team utilises the latest techniques and high-quality materials to craft durable and natural-looking dental bridges. Say goodbye to gaps and hello to renewed confidence as we help you achieve a seamless, healthy, and radiant smile. Experience excellence in dentistry with us today. Here’s another example of before and after Bridgework

Dental bridges not only restore your smile but also prevent the shifting of surrounding teeth, which can lead to bite issues and jaw discomfort. They help maintain the shape of your face and ensure proper chewing and speaking functionality. This case illustrates the aesthetic improvement possible with the use of Zirconia Bridge work and veneers to replace the unsatisfactory Bridge on the upper right and improve the alignment and appearance of the remaining teeth, note the two central teeth are untouched. 

Our Happy Customers

Make an enquiry